Сегодня более 120 пациентов с подтвержденным диагнозом COVID-19 в Китае проходят лечение коронавирусной болезни мезенхимальными стволовыми клетками. Уже известно о восьми пациентах, которые успешно вылечились от COVID-19 с помощью клеточной терапии, несмотря на то, что перед введением инъекций стволовых клеток пациенты находились в тяжелом состоянии, сообщает ONLINE.UA.
О том, что результаты перспективны, утверждает в своих материалах Кунлин Джин, PhD, профессор фармакологии и неврологии в Центре медицинских наук Университета Северного Техаса, который руководит проектом по исследованию лечения коронавируса стволовыми клетками.
Мезенхимальные стволовые клетки (Mesenchymal Stem Cells) являются популяцией мультипотентных клеток человека, которые способны дифференцироваться в различные типы зрелых клеток, включая жировые, костные, хрящевые, мышечные и нервные клетки. Эти клетки обладают особыми иммуномодулирующими способностями, которые оказывают положительное влияние на иммунитет, процессы восстановления и другие иммунологические процессы, происходящие в организме человека.
В научной работе исследователей (Кембриджский университет, Великобритания) говорится, что когда пациенты с коронавирусной инфекцией находятся в критическом состоянии, причиной ухудшения, которое может привести к летальному исходу, является «воспалительный шторм» — состояние, когда организм человека чрезмерно атакуется инфекцией, которая может привести к серьезным повреждениям легких и последующим нарушениям дыхания. Однако, за счет мощного противовоспалительного эффекта, которым обладают мезенхимальные стволовые клетки, летального исхода удается избежать.

Фото: aginganddisease.org
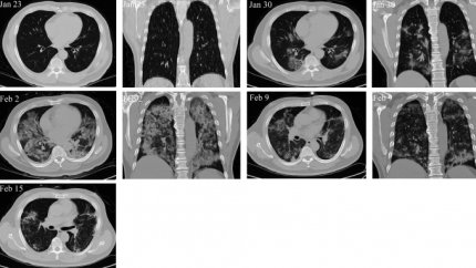
Изображения компьютерной томографии (КТ) грудной клетки пациента с подтвержденным диагнозом COVID-19 в критически тяжелом состоянии. В динамике: 23 января показатели пневмонии не наблюдались, 30 января обнаружено наличие симптома «матового стекла» и пневмонической инфильтрации. Трансплантация клеток была проведена 31 января. 2 февраля пневмония уже поразила все легкое. 9 февраля инфильтрация в значительной степени исчезла. 15 февраля на месте осталась лишь небольшая область «матового стекла».
Эксперты утверждают, что после первой инъекции стволовых клеток концентрация интерлейкина-10 (противовоспалительного белка) в крови повышается в 4 раза, а концентрация фактора некроза опухолей (белок, который стимулирует воспалительные процессы) снижается в 2 раза.
В то время как новые вакцины против COVID-19 только еще разрабатываются, существует необходимость лечения значительного числа пациентов, у которых развивается пневмония с осложнениями. Новые данные с использованием мезенхимальных стволовых клеток демонстрируют, что клеточная терапия обладает мощными защитными свойствами и позволяет восстановить функцию поврежденных легких. Учитывая потребности в борьбе с нынешней пандемией COVID-19 с приоритетом сохранения как можно более низкой смертности, обнаружение того, что мезенхимальные стволовые клетки безопасны и могут подавляюще воздействовать на коронавирус даже при критическом течении заболевания, ученые называют крупным прорывом, поскольку это совершенно новый биологический подход к лечению.
С этой целью ведущие эксперты в области биомедицины объединяют свои усилия, чтобы в кратчайшие сроки провести необходимые исследования для включения стволовых клеток в противокоронавирусную терапию.
В официальном международном реестре клинических исследований уже зарегистрировано 14 проектов, в рамках которых пациентам с коронавирусной пневмонией вводят мезенхимальные стволовые клетки. В частности, исследования проводятся учеными в Бразилии, Иордании, Китае и Италии. Как потенциальное лечение COVID-19 стволовыми клетками рассматривают в США и Австралии.

В Украине уже есть большой опыт успешного применения стволовых клеток в лечении серьезных заболеваний, в том числе аутоимунных, нейродегенеративных и эндокринных патологий. Безусловно, Украина — одна из ведущих стран мира по терапии стволовыми клетками и имеет огромный потенциал применения клеточных технологий. Нужно понимать, что в терапии стволовыми клетками не бывает нулевого результата. Например, в медицинском центре Deva Clinique клеточную терапию уже на протяжении нескольких лет успешно применяют для лечения болезней Крона, Альцгеймера, Паркинсона, сахарного диабета, а также в пластической хирургии.
Научно доказано, что физиологическое обновление и регенерация тканей в течение всей жизни человека происходят благодаря стволовым клеткам. Важнейшей популяцией стволовых клеток взрослого организма являются именно мезенхимальные стволовые клетки.
Лечение болезни Крона и неспецифического язвенного колита мезенхимальными стволовыми клетками позволяет минимизировать риски осложнений и побочных эффектов за счет применения собственных клеток пациента. В результате курса терапии мезенхимальными стволовыми клетками при лечении болезни Крона достигается значительное улучшение и длительная ремиссия заболевания; происходит заживление язв и регенерация слизистых; постепенно исчезают рубцы и свищи. При этом курс клеточной терапии при лечении болезни Крона составляет от 3 месяцев до 1 года по показаниям врача.
Исследования и результаты лечения мезенхимальными стволовыми клетками пациентов с болезнью Крона и неспецифическим язвенным колитом были представлены специалистами Deva Clinique в рамках Stem Cell Summit в апреле 2017 в Бостоне, США.

Стволовые клетки, попадая в организм пациента, мигрируют в «проблемные» места и дифференцируются там в различные типы специализированных клеток, восстанавливая таким образом структуру и функцию поврежденных тканей и органов. Также стволовые клетки оказывают трофическое действие благодаря широкому спектру секретируемых ими биологически активных факторов. За счет данного механизма стволовые клетки оказывают иммуномодулирующее действие и снимают резистентность организма к инсулину, которая развивается при метаболическом синдроме и диабете 2-го типа.
Также клеточная терапия показала высокую эффективность при лечении диабета 1-го и 2-го типа: стволовые клетки дифференцируются в клетки поджелудочной железы, которые отвечают за выработку инсулина. Кроме этого стволовые клетки принимают непосредственное участие в восстановлении поврежденных ранее тканей.
Исследования и результаты лечения мезенхимальными стволовыми клетками пациентов с диабетом 2-го типа были презентованы специалистами Deva Clinique в рамках 15-го Stem Cell Summit в апреле 2018 года в Сан Диего, США.

Важно, что помимо нормализации функций поджелудочной железы, лечение стволовыми клетками укрепляет иммунитет и восстанавливает сердечно-сосудистую систему, что особенно важно для больных диабетом, поскольку это заболевание часто осложняется серьезным нарушением кровообращения. Стволовые клетки извлекаются из собственных тканей пациента, что исключает риск их отторжения. Лечение диабета 1-го типа стволовыми клетками позволяет снизить объем вводимого инсулина уже на начальных стадиях лечения.
Стволовые клетки сохраняются и функционируют и во взрослом организме, благодаря им может осуществляться обновление и восстановление тканей и органов. Это позволяет специалистам в области клеточных технологий во всем мире бороться не с симптомами заболеваний, а находить причины их возникновения, а также восстанавливать органы-мишени, пострадавшие в результате болезни, что ведет к улучшению самочувствия и полному выздоровлению пациентов.