Переработка может оказывать влияние на структуру человеческого мозга. Об этом свидетельствуют результаты исследования, проведенного учеными из южнокорейских университетов Чунан и Йонсе.
Главные тезисы
- Переработка может изменять структуру человеческого мозга, подтверждают результаты исследования ученых из Южной Кореи.
- Сверхурочная работа влияет на участки мозга, ответственные за когнитивные функции и эмоциональную регуляцию.
- Исследование показало, что увеличение рабочей нагрузки приводит к изменениям в объеме мозгового вещества в определенных частях мозга.
Переработка изменяет структуру мозга
В исследовании приняли участие 110 медицинских работников. Их разделили на две группы — перерабатывающих и тех, кто нет. В первую группу вошли 32 человека, работающих 52 часа или более еженедельно (в Южной Корее определенная на законодательном уровне максимальная продолжительность рабочей недели составляет 52 часа).
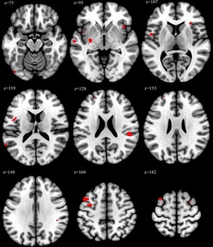
Ученые использовали технику нейровизуализации для анализа объема мозга исследуемых медработников. Это позволило определить и сравнить различия в уровнях серого вещества на разных участках мозга.
У людей, работавших 52 или более часов в неделю, наблюдались значительные изменения в участках мозга, связанных с когнитивной функцией и эмоциональной регуляцией, в отличие от участников, работавших по стандартным часам.

Участки мозга, где было зафиксировано увеличение объема, включают среднюю лобную извилин, играющую ключевую роль в когнитивных функциях, внимании, памяти и речевых процессах, а также долю, вовлеченную в эмоциональную обработку, самосознание и понимание социального контекста.
Исследователи считают, что выводы свидетельствуют о «потенциальной связи» между увеличением рабочей нагрузки и изменениями в этих частях мозга.
Проведенное в 2021 году совместное исследование Международной организации труда и Всемирной организации здравоохранения показало, что переработка приводит к более чем 745 тысячам смертей в год. Также было установлено, что сверхурочный труд повышает риск диабета у женщин и способствует снижению когнитивных способностей.