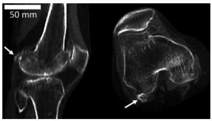
Вчені Імперського коледжу Лондона проаналізували 21 676 випадків, пов'язаних з колінними суглобами за останні 100 років і прийшли до висновку, що у людей поступово з'являється фабела – сезамовидна кістка, яка розташована в сухожиллях з заднього боку коліна, передає ONLINE.UA з посиланням на ВВС.
За словами дослідників, ця кістка була втрачена через еволюцію. Також вдалося з'ясувати, що частота виникнення фабели за цей період збільшилася в три рази.
"Наразі вчені не можуть дати однозначну відповідь про функції цієї кістки, тому що до цього її вивченням ніхто не займався. Можливо, фабела має зменшити тертя в сухожиллях, перенаправивши м'язові сили. Але вона також може викликати біль і заважати при операціях на коліні", - сказано в повідомленні..
За попередніми даними, поява фабели може бути повязана з харчуванням.Сьогодні люди почали їсти краще, ніж будь-коли і, відповідно, стали вищими і важчими. У зв'язку з цим стали розвиватися довші гомілки і великі литкові м'язи, що підвищило тиск на коліно.
Сьогодні дослідники з'ясовують, як поява фабели залежить від статі і генетики. Результати роботи вчених можуть вплинути на методику лікування пацієнтів з болем у коліні.

Як повідомляв ONLINE.UA, дослідники США встановили, що в останні роки привабливими стали вважатися підтягнуті жінки з рельєфним тілом.