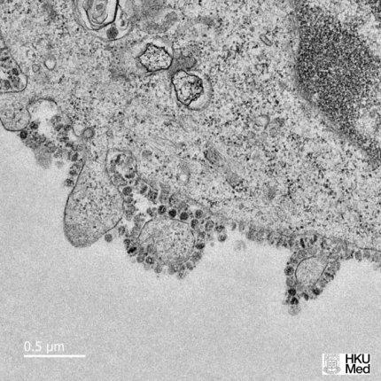
Каждая клетка китайского коронавируса производит тысячи новых инфекционных вирусных частиц, способных заразить здоровые клетки. Новые шокирующие данные о коронавирусе, вызывающем смертельную пневмонию, сообщили ученые из университета Гонконга, которые показали на фото, как размножается опасный вирус. Соответствующий снимок опубликликовало агентство Bloomberg, передает ONLINE.UA.

Клинический профессор патологии Джон Николс совместно с коллегами Лео Пун и Маликом Пейрисом, которые провели исследование размножения китайского коронавируса, отметили, что вирус чрезвычайно активен и каждая его клетка создает тысячи новых носителей опасной инфекции. Они продолжают изучать полученные в разные моменты времени образцы штамма, чтобы лучше понять, как размножается новый вирус 2019-nCoV и сравнить этот процесс с размножением других коронавирусов, которые ранее исследовались более тщательно. Они также подчеркнули, что готовы предоставить данные для исследований другим ученным, у которых нет доступа к штаммам.
Следует отметить, что лекарств и вакцин от нового коронавируса еще нет. Китайские медики методом подбора ищут способы лечения, которые бы оказались в борьбе со смертельной инфекцией. Они омтечают, что различия между новым коронавирусом и вирусами, которые ранее вызывали эпидемии, настолько велики, что препараты, предназначенные против подавления одних видов, не работают в лечении 2019-nCoV.
Тем временем вирус из Китая продолжает убивать людей. По состоянию на 1 февраля, от коронавируса умерли 259 человек. Почти 12 тысяч человек заразились смертельной инфекцией не только в Китае, но и далеко за его пределами. Смертельную пневмонию, вызванную вирусом 2019 nCoV, диагностировали у граждан Франции, Германии, США, Японии, Сингапура, Австралии, Канады, Италии, Финляндии, Швеции. Накануне первые два случая заражения были зафиксированы в России.

30 января Всемирная организация здравоохранения в связи со стремительным распространением китайского коронавируса по миру объявила международную чрезвычайную ситуацию в сфере здравоохранения. В организации призывают оперативно реагировать на ситуацию и тесно сотрудничать с комитетом ВОЗ, отмечая, что не все страны готовы к борьбе с коронавирусом.
В Украине принимают все экстренные меры по предотвращению попадания коронавируса в страну в соответствии с рекомендациями ВОЗ. Минздрав Украины оценивает риск того, что в стране уже есть инфицированные китайским коронавирусом, как средний. В ведомстве призывают граждан придерживаться ряда правил, чтобы уберечься от смертельного вируса, и рекомендуют украинцам отложить свои визиты в КНР. Прежде всего речь идет о регионе Хубэй и городе Ухань, которые стали эпицентром вспышки 2019-nCoV.

Ранее ONLINE.UA сообщал, что США объявили режим чрезвычайной ситуации в связи с распространением эпидемии китайского вируса. Граждан США, прибывших из Китая, обяжут проходить медицинское обследование. А те американцы, которые посещали китайскую провинцию Хубэй, где изначально произошла вспышка коронавируса, будут подвергаться обязательному карантину в течение 14 дней. Также Трамп подписал прокламацию, которой запретил въезд в США иностранных граждан, представляющих риск передачи китайского коронавируса.