Китайские медики начали применять в лечении коронавируса мезенхимальные стволовые клетки. Клеточная терапия оказалась эффективной - процедура позволила снизить уровень воспаления даже у тех пациентов, которые находились в критическом состоянии и которым не помогали противовирусные лекарства. Что известно о применении стволовых клеток в лечении коронавирусной инфекции - в материале ONLINE.UA.

Коронавирус, как известно, прикрепляется в организме людей к белкам АСЕ2, тесно связанным с работой сердечно-сосудистой системы и регуляцией артериального давления. После вирусной атаки эти белки активизируются и с ними в борьбу вступают клетки иммунной системы, которые лишены АСЕ2 и не подвержены действию вируса, из-за чего в легких и развивается воспаление. Традиционная терапия при развитии коронавирусной пневмонии в первую очередь заключается в подавлении иммунного ответа глюкокортикоидами, но такое лечение не всегда эффективно, а в отдельных случаях и вовсе замедляет выведение вируса из организма.
Две группы китайских медиков решили иначе воздействовать на иммунную систему - вместо гормонов надпочечников они стали применять мезенхимальные стволовые клетки, способные выделять широкий спектр противовоспалительных белков, направленных на защиту от иммунных клеток. Их применение в лечении воспалительных процессов разного характера уже одобрено во многих странах мира, где стволовые клетки, например, применяют при пересадках костного мозга.
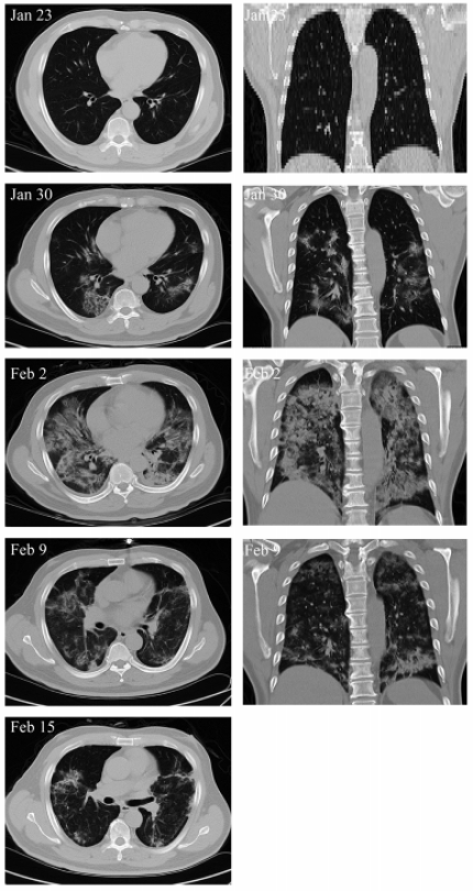
В Пекинском университете для лечения 65-летней китаянки, использовали мезенхимальные стволовые клетки из пуповинного канатика. На момент начала клеточной терапии пациентка была в критическом состоянии, несмотря на то, что стандартное лечение от коронавируса ей проводили уже на протяжении недели. Перед первой инъекцией у женщины в крови упало количество эритроцитов, а лейкоциты повысились до тревожных значений, налицо были признаки дыхательной недостаточности, поражения печени, анемии. Состояние пациентки усугублялось еще и гипертонией, диабетом 2 типа и желудочными кровотечениями. За курс лечения пуповинными стволовыми клетками женщине ввели три инъекции с интервалом в 3 дня - спустя несколько дней после этого ее состоянии значительно улучшилось, в легких стали исчезать очаги воспаления, что подтвердила компьютерная томография. По итогам клеточной терапии все жизненно-важные показатели состояния здоровья женщины вернулись к норме, а тест на наличие COVID-19 показал отрицательный результат.

Аналогичное испытание провели медики Университета Шанхая. Они применяли клеточную терапию стволовыми клетками для лечения семи пациентов с коронавирусом, которым не помогала традиционная терапия. Один из них находился в критическом состоянии, четверо - в тяжелом, а еще двоих пациентов болезнь протекала стандартно и без осложнений. После одной инъекции мезенхимальных стволовых клеток, которые были взяты в университетском биобанке, у пациентов начали исчезать признаки воспаления - снизилась температура тела и исчезли трудности с дыханием. Авторы исследования объясняют успех клеточной терапии в борьбе с коронавирусом благодаря ее мощному противовоспалительному эффекту.
"Достигнутые результаты доказывают, что трансплантация мезенхимальных клеток пупочного канатика может быть идеальным выбором для самостоятельного или комбинированного лечения COVID-19 у пациентов в тяжелом состоянии", - говорится в выводах исследования.
Читайте также: